日、祝
-
診療一覧
-
当院について
- お悩みから探す
日、祝
日、祝
日、祝
日、祝
こんにちはステラ歯科矯正歯科 千林大宮 医学博士 今井佑輔 です。
口臭って気になりますよね。自分があまり感じていなくても、家族に指摘されたり友達に言われたり、自分では気づきにくいためどれ位臭っているいるかもわかりにくいですよね。
口の中の細菌が多くの場合、口臭の原因になる事が多いです。あとは胃腸障害など消化管の調子が悪く口臭になってしまう事があります。あとは食べ物ですね。にんにくなど匂いが強いものなども挙げられます。
口の中が口臭原因の場合は
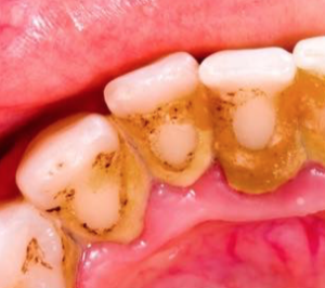
①歯と歯茎の間の汚れ(歯周病)

これが多いと思います。次に
②虫歯、詰め物のしたの隠れ虫歯

これがつぎに多い気がします。
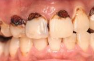
③舌苔
これも意外に多いと思います。
③舌苔について少し話そうと思います。
舌のコケ(苔)と書きますこの舌苔は、舌をベーっと出してもらった時に見えるベロの部分に白かったり、茶色く見えたりする苔のような繊維のことです。舌の上の垢(アカスリのアカ)がたまったり、そのアカに細菌や臭い成分が着いてしまったりといわゆる歯垢のようなものと考えてください。白い場合もありますし、茶色や黒っぽくなる場合もあります。色がつくときは、抗生物質やタバコや刺激物が原因とも言われています。(黒毛舌)

黒毛舌
通常は

多少白いのが乗っかるくらいが正常ではあります。
舌苔は人によって出来やすい人、出来にくい人がいて
これらの方がつきやすいとされています。
最初に話しておきたいことは、正常でも多少白く付いているのが普通です。全て綺麗に落とさないといけないというものでもありません。そのなかでも、臭いが気になる場合は舌ブラシやスポンジブラシといった舌や粘膜を清掃するもの使用していただければと思います。

舌ブラシ

スポンジブラシ
舌ブラシでひりひりしたり痛く感じる方はスポンジブラシでもいいと思います。湿らせながら、ふやかして取っていくようなイメージです。

一回でたくさんこすると痛かったりヒリヒリするので、毎日少しずつ落としていってください。

だんだん色が薄くなっていきます。

日々継続すれば薄くなっていきます。アカスリするイメージですね。
日、祝