診療時間・ご予約はこちら

ご予約・お問い合わせ
tel
06-6953-4182
大阪メトロ 千林大宮駅 4番出口すぐ10秒

診療時間

月 〜 金
9:30 ~ 13:30 15:00 ~ 19:00
最終受付時間: 18:00
9:30 ~ 13:00 14:00 ~ 17:00
最終受付時間: 16:30
休診日

日、祝

CHILDREN’S ORTHODONTICS

小児矯正

当院が考える小児矯正について

自分の子供にしてあげたい矯正治療をしてあげたい

私たちは親として、お子さまの性格やお口の状態をしっかりと見極め、「自分の子どもならどうするか」を常に考えて矯正治療を提案しています。

必ずしも小児期に矯正が必要とは限らず、大人になってからの方が治療期間が短くなる場合や、費用が抑えられるケースもあります。また、反抗期や虫歯リスクなども考慮し、途中で治療を中断してしまう可能性があることも理解していただきたいです。小児矯正だけで無理に終わらせると、噛み合わせが不十分なまま口元が出てしまうなど、見た目は整っていても将来的に大きなトラブルにつながる場合が少なくありません。
矯正は見た目だけでなく、将来歯を失わないためにも欠かせない医療行為です。当院では無料相談を行い、お子さまの成長段階や性格に合わせた矯正計画を一緒に考え、最後まで責任を持ってサポートいたします。

セカンドオピニオンとしてもご利用いただけますので、ご不安や疑問があれば、ぜひお気軽にお問い合わせください。まずは一度、お話を聞きにいらしてください。いつでもご予約やご相談をお待ちしております

矯正無料相談

小児矯正が必要な理由

最近では、お子さまの顎の骨が小さくなる一方、歯の大きさが増しているとも言われています。その結果、ご両親のどちらかに似た歯並びになることで、顎に歯が収まりきらずガタガタになってしまうことが多いのです。

歯が重なり合うと汚れが落としにくくなり、虫歯や歯周病のリスクが高まるだけでなく、噛み合わせの乱れから歯ぎしりや歯の揺れといったトラブルが発生する可能性もあります。子どものうちに適切な矯正を行えば、大人になってからの大掛かりな治療を回避できる場合もあるため、早めの小児矯正は大切だと考えられます。

小児矯正で得られるメリット

  • 美しい歯並びの実現
  • 咀嚼や発音の改善
  • 歯や歯茎の病気の予防

小児矯正ではこれらのメリットが得られます。
今起こっている問題を解決するだけでなく「大人になったあとに得られるメリット」にも目を向けると、非常に価値ある治療なのではないかと思います。

小児矯正を検討するタイミング

一般的には永久歯の交換が始まり、前歯が2〜4本ほど生え替わった時期が開始の目安です。年齢でいうと個人差はあるものの、7〜8歳前後が多いです。前歯が見え始めると、大まかな永久歯のサイズを想定しながら、奥歯の大きさや顎の位置などを確認し、スペース不足の程度や噛み合わせの高さを調整していきます。また、受け口傾向(下の歯が前に出ている)のお子さまの場合は、5〜6歳頃の早い段階から矯正装置を装着することもあるため、早めの診断が大切です。

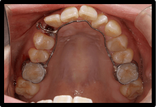
当院では以下のような装置に対応しています

固定式の装置

取り外しのできない固定式の装置となります。混合歯列期(乳歯と永久歯が混在している時期)に使用する事が多く、歯列の幅を広げることによって歯が生えるスペースを確保していきます。

BクワドヘリックスR
バイヘリックス
リンガルアーチ
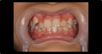
取り外し式の装置

1日に決められた時間の装着が必要になりますが、取り外し式の装置もあります。目的は固定式の装置と概ね変わりませんが、ムーシールドに関しては反対咬合(受け口)にしか効果がありません。主に就寝時に装着していただくことが多いため、比較的負担が少ない装置です。

拡大床 
ムーシールド
ブラケット・マウスピース矯正

すべての歯が永久歯に生え変わると、成人と同様の矯正治療となります。永久歯に生え変わる前に行った矯正治療の仕上げに用いられることもあります。ブラケットは装置が固定式になりますが、マウスピース矯正は取り外しができます。どちらで行うかは十分に話し合って決めましょう。

ブラケット
(ワイヤー)
マウスピース矯正(インビザライン)

小児矯正の流れ

01
矯正治療の準備

まずは、虫歯をしっかり予防・治療しておくことが大切です。乳歯が虫歯だからといって放置すると、すぐ隣に生えてくる永久歯にも細菌が移り、虫歯になりやすくなってしまいます。さらに矯正装置をつけると歯磨きが難しくなるため、お子さまと親御さまが一緒に「虫歯を作らない」意識を高める必要があります。 また、矯正はお子さま本人の協力が欠かせません。「なぜ必要なのか」「どれくらい続くのか」をしっかり理解してもらい、自分で装置を管理できるようになることが成功のカギとなります。

02
矯正治療の開始

一般的には、前歯が2〜4本の永久歯に替わる7〜8歳頃が目安です。最初にレントゲンや模型などの資料を取り、歯や顎(あご)の大きさ、顔立ち、ご両親の歯並びの傾向、お子さまの性格などを総合的にチェックします。その上で、小児矯正だけで完了できるか、成人矯正も視野に入れるか、逆に成長を待ってから成人矯正のみにするかを診断し、使用する装置を決定します。

03
矯正治療の期間

お子さまの口の状態によって異なりますが、だいたい7〜12歳までが一般的です。前歯が永久歯になった頃から、12歳臼歯がかみ合う時期までを目安に装置を使い分けながら進めます。大きな問題が解消されれば、一時的に装置を外して成長を見守る場合もあります。

04
矯正治療の終了

12歳頃を迎えると、ほとんどの永久歯がそろいます。その段階で治療のゴールに到達しているかを再確認し、さらに仕上げが必要な場合は成人矯正に移行することもあります。大切なのは、目標とする歯並びやかみ合わせをきちんと達成するまでフォローを続けることです。

小児矯正の症例紹介

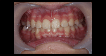
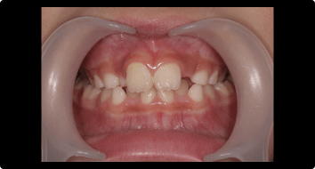
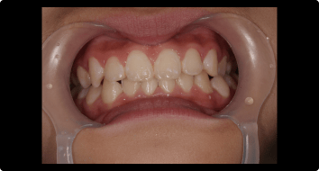
症例1:受け口の矯正治療

BEFORE
AFTER

症例概要

年代・性別
10歳代 女性
主訴
上下反対の噛み合わせが気になる
治療内容
ムーシールドを用いた矯正治療
治療期間
4ヶ月
治療のリスク
装置の装着時間を守らないと、治療結果が伴わない場合があります
治療費用
440,000円(税込)

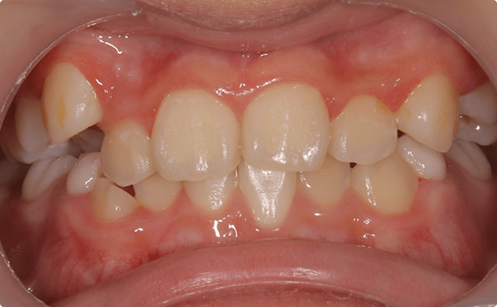
症例2:叢生の矯正治療

BEFORE
AFTER

症例概要

年代・性別
10歳代 女性
主訴
デコボコした歯並びを治したい
治療内容
ブラケット(ワイヤー)を用いた矯正治療
治療期間
4ヶ月
治療のリスク
定期検診、セルフケアを怠ると虫歯になる可能性があります
治療費用
440,000円(税込)

症例3:叢生の矯正治療

BEFORE
AFTER

症例概要

年代・性別
10歳代 女性
主訴
歯並びを良くしたい
治療内容
ブラケット(ワイヤー)を用いた矯正治療
治療期間
4ヶ月
治療のリスク
定期検診、セルフケアを怠ると虫歯になる可能性があります
治療費用
440,000円(税込)

小児矯正の費用

表記は全て税込となります。
小児矯正費用
440,000
再診調整料
5,500

小児矯正をご検討の皆様へ

お子さまの歯並びが悪くなることで不安になるお気持ちは理解できます。中には、ご自身の経験から矯正治療をしてあげたいと思う方もいらっしゃるでしょう。当院では矯正無料相談を行っておりますので、不安なことや質問がありましたらお気軽にご予約ください。同じ親の目線でお悩みや不安を解決していきます。

診療予約・ご相談

RESERVATION

お気軽にご予約・ご相談ください

ご予約・お問い合わせ
tel
06-6953-4182

診療時間

月 〜 金
9:30 ~ 13:30 15:00 ~ 19:00
最終受付時間: 18:00
9:30 ~ 13:00 14:00 ~ 17:00
最終受付時間: 16:30
休診日

日、祝