診療時間・ご予約はこちら

ご予約・お問い合わせ
tel
06-6953-4182
大阪メトロ 千林大宮駅 4番出口すぐ10秒

診療時間

月 〜 金
9:30 ~ 13:30 15:00 ~ 19:00
最終受付時間: 18:00
9:30 ~ 13:00 14:00 ~ 17:00
最終受付時間: 16:30
休診日

日、祝

PERIODONTAL DISEASE

歯周病治療

歯周病は歯を失う原因となる疾患です

歯周病は、以前は「歯槽膿漏」と言われていました。テレビCMでも流れているのを聞いたことがあるのではないでしょうか?歯周病は歯を支える骨を失い、最終的に歯を失ってしまう疾患で、最近では全身疾患との関連性も報告されています。 歯周病は先手必勝で、軽度であれば歯を失う心配はないでしょう。しかし、痛みなどの自覚症状がないため歯周病であることに気付かずに、気がついたらかなり進行していたという方は少なくありません。 このページでは歯周病とはどのような病気で、どのような治療が必要かをお伝えしていきますので、歯周病かもと思ったら、放置をせずに歯医者へいきましょう。

歯周病のチェックリスト

以下の症状に当てはまる場合は、歯周病の可能性があります。 1つでも該当したらご相談ください。

  • 朝起きたら、お口の中がネバネバする
  • 歯茎に歯ブラシが当たると血が出る
  • 歯茎が赤く腫れている
  • 歯と歯の間に食べ物が詰まる
  • 歯茎が下がって、歯が長くなったように見える
  • 歯がグラグラしている、グラグラしていて噛みにくい
  • 口臭が気になる
  • 歯茎から膿が出る
  • 歯が浮いているような感じがする
  • どんどんと出っ歯になってきた

歯周病の原因について

どうして歯周病になるの?と疑問に持たれる方もいらっしゃるかと思います。
中には歯磨きを毎日頑張っていたり、定期検診に行っているのに歯周病になってしまうかたもいらっしゃいます。ではどうして歯周病になってしまうのでしょうか?その原因をお伝えしていきます。

原因1
歯周病の原因菌
(プラーク / バイオフィルム)
テレビCMなどで「歯周病の原因となるプラーク」という言葉を聞いたことがあると思います。
このプラークは細菌の塊で、現在はバイオフィルムと呼ばれることが多くなってきました。バイオフィルムはキッチンのヌメリをイメージしてください。
あの嫌なヌメリもバイオフィルムです。その中にある歯周病の原因となる細菌が悪さをすることで、身体が防御反応として炎症を起こします。これが歯肉炎と呼ばれる状態です。これを放置していると歯を支える骨が失われていき、歯がグラグラするなどの症状を引き起こします。
原因2
歯石
歯石はプラーク(バイオフィルム)が石灰化したもので、頑固にこびりつくため、ブラッシングだけで落とすことはできず、歯科医院で使用する専用の器具を使用して取り除くしかありません。また歯石は歯茎の上だけでなく、歯と歯茎の隙間して歯根の部分で歯石を作るため、歯茎の上の歯石を取り除いても歯根に付着している歯石を取り除かないと歯周病は改善しません。歯周病が改善しない人の多くは歯根に歯石が付着してることが多いです。
原因3
歯ぎしり
歯ぎしりは直接原因には関与しませんが、歯周病を早く進行させてしまう要因になると言われています。炎症によって歯を支える骨が失われていく過程において、さらに歯ぎしりで
歯が揺らされてしまうと、歯を支える骨が失われる速度が早くなります。雑草を抜くときに、縦に引っ張ると抜けないのに、左右に揺らすと土が剥がれて簡単に雑草が抜けてしまいます。それをイメージしていただけると歯ぎしりのリスクがわかりやすいかと思います。

歯周病は歯を失う原因となる疾患です

歯周病の進行段階について解説いたします

歯肉炎
歯肉炎とは、歯肉溝と言われる歯と歯茎の隙間に磨き残しや汚れが溜まり、細菌が繁殖することで周囲の歯茎が炎症を起こし腫れてしまうことで、ブラッシング時の出血や自然出血が起こる状態を示します。
汚れがこびりついて固まってきますと歯石になります。歯石になってこびりつくと、慢性的に周囲の歯茎が腫れやすくなります。歯肉炎の段階では歯石取りやTBI(歯ブラシ改善)、フロスなどを使用することで改善されます。
軽度歯周炎
歯肉炎が進行して悪化してくると、歯周炎という状態になります。
腫れている歯茎が、深い部分に少し進行した状態です。歯を支えている周辺組織が壊されていく初期段階となります。歯根膜、歯槽骨など歯を支えている組織が歯周病菌の侵入を防ごうとする自己防衛の免疫により破壊されていきます。軽度歯周炎と歯肉炎は、見た目の病態は同じです。
歯肉溝が深くなると歯周ポケットと呼び名が変わります。通常1〜2mmの溝が3〜4mmと少し深くなってくることが特徴です。プロービングといわれる歯周病検査をしないと歯肉炎か歯周炎か判別は難しいです。初期段階であれば、破壊された組織も元に戻る場合もあります。
中等度歯周炎
軽度の状態から歯周病が進行していくと、中等度と言われるようになります。歯周ポケットの深さで言うと4〜6mm程度になります。歯を支えている骨の半分程度が破壊されている状態になります。
歯肉の腫れがますます広がり、根の先端の方へと進んでいきます。ご自身でのブラッシングでは汚れは取り除くことができなくなり、しばしば腫れたり出血したりを繰り返すようになります。それらの回数が増えれば増えるほど、支えている骨の破壊は進んでいきます。縁下歯石と言われる歯茎の中に隠れた歯石が病気を進めてしまいます。治療としてはこの縁下歯石を取り除く治療になります。
重度歯周炎
中等度の状態がさらに悪化や噛む力や噛み合わせにより進行が加速してしまい、場合によれば抜歯しなくてはいけない状態になるのが重度歯周炎です。
歯を支えている骨の破壊も進行していき、歯が揺れてくる状態になります。歯周ポケットも7〜10mm程度になる場合もあり、通常の歯石取りでは歯石を取り除くことは難しくなります。
歯周外科と言われる歯石除去率を上げるために、歯茎をめくっての歯石取りや再生療法等が必要になる場合もあります。 7〜10mmの深い歯周ポケットは、中等度歯周炎の治療時に行われる縁下歯石取りでも歯石まで器具が届かないや根の形が複雑で40%程度しか取れていないというデータもあります。治療しても揺れが残る場合は、抜歯の検討もしたり、揺れている歯を隣の歯と固定する場合もあります。

歯周病の治療について

TREATMENT 1
歯周基本治療(初期治療)
歯周基本治療は歯茎の上や歯茎の中の歯根に付着している歯石を徹底して除去します。
歯周基本治療後に再評価を行いますが、概ね改善の傾向を示します。しかし、中等度以上に進行している場合は器具の届かない場所に歯石が残っているので歯周外科治療を行います。
TREATMENT 2
歯周外科治療
歯周外科治療は歯茎を切開して、歯根が見える状態にして歯石や悪影響を及ぼしている組織を取り除きます。
切開した歯茎は縫合を行い、経過観察の後、再評価を行います。そこで歯周病が改善していればメンテナンスへ移行していきます。
TREATMENT 3
歯周組織再生療法
歯周外科治療を行った際に、失われた骨や組織などを再生させる歯周組織再生療法を行うことがあります。
エムドゲインやリグロスと言った再生誘導剤を使用します。ただ全ての症例に適応するわけではないので、注意が必要です。
TREATMENT 4
歯周形成外科
歯周形成外科には根面被覆術や遊離歯肉移植術という方法があります。目的としては、歯肉を下がった歯茎の部分に角化歯肉と呼ばれる硬い歯茎を移植することによって、動かない付着しにくが得られ、歯周病の最近への抵抗力が高くなります。また下がった歯茎の審美的な問題解決にも役立ちます。
TREATMENT 5
その他の治療
歯周病の治療中に、グラグラの歯を固定して治療を行う「暫間固定」や歯ぎしり・食いしばりの影響から保護するための「ナイトガード」、場合によっては噛み合わせや口腔内の清掃性を高めるための矯正治療を行うこともあります。

歯周病治療の流れ

FLOW 1

検査、診査

歯周病は歯茎の中で病気が進みます。直接目で見て覗くだけでは状況把握はできません。よって特別な検査が必要になります。
FLOW 1-1
歯周ポケット検査
歯と歯茎の間の歯周ポケットと言われる溝の深さを計測し、出血や膿が出てくるか、歯が揺れているか、歯の汚れがついていないか、健康な歯茎が残っているかなどを検査します。検査時は少しチクチクする感じが出る場合があります。
FLOW 1-2
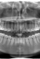
レントゲン検査
パノラマレントゲンやCT検査など、歯茎の中の骨状態を把握するのにレントゲン検査が必要になります。細かく精密に検査が必要な方は、小さいレントゲンを細かく撮らせていただく場合もあります。
FLOW 1-3
プラークチャート
そもそも歯周病の原因は歯磨きの磨き残しです。歯周病の治療を進めても歯磨きがそのままだと、また歯石が溜まってしまいます。ハギガキの磨き残しチェックも歯周病の検査の大切な項目になります。

他にも細かい検査はありますが、大まかにはこの3つになります。
個別に唾液から歯周病菌を採取したりなどの精密検査などもあります。
FLOW 2

診断

これらの検査をもとに、歯周病の状態を診断します。全体的に歯周病中等度という方や奥歯だけ歯周病重度など患者様ごとの部位によっても歯周病の進行具合は違います。前歯周辺は軽い歯石とりだけで、奥歯は歯周外科が必要な場合もありますし、全体的に縁下歯石とりのみで終わる場合もあります。そのあたりも含めて、何回くらいどんな処置をしておけば歯周病の進行を食い止められるかを診断し、診断結果をカウンセリング時にお伝えします。
FLOW 3

初期治療

治療は軽度の方も重度の方も基本的な治療から始まります。基本治療には、ブラッシング指導をしたり着色を落としたりフロスや歯間ブラシの使用など汚れがこれ以上つかないようにすることと、同時に歯茎から見えている縁上歯石を取ります。皆さんが一般的にイメージされる歯石とりは、この縁上歯石とり(スケーリング)を指します。一般的には歯石とりだけというイメージかもしれませんが、真剣に歯周病に取り組んでおられる歯科医院ほど歯ブラシなど清掃指導をしっかりされています。 また歯並びが原因で清掃しづらいことや適合が悪い被せ物をされていると隙間に汚れが溜まりやすくなることもあり、矯正治療や被せ物の治療のやりかえなども初期治療に入ります。これらの汚れが溜まる原因を解決するのも初期治療と呼ばれます。
FLOW 4

初期治療の効果判定、再評価

なんとなく歯石とりが終わったので治療終わりということではありません。歯周病治療は処置後に治療効果があったのかを判断します。歯周病が完治したのか中等度が軽度になったのか重度のままなのか、それによって治療を終えて予防処置して行くのか縁下歯石とりに進むのかを判断します。もちろん状態が改善されていない部位のみに行いますので、奥歯だけだったり前歯の1本の歯だけだったりすることもあります。
FLOW 5

縁下歯石とり(SRP:歯石とり、根面の滑沢化)

ここからが本格的な歯周病治療になります。歯茎の中にある隠れ歯石を除去していきます。隠れ歯石のことを歯茎の縁よりも下の隠れている歯石ということで縁下歯石と呼びます。歯周ポケットが4mm以上ある場合は、縁下歯石が付着している場合が多いです。歯茎の中を触って行くため、処置中チクチクと感じたりします。そのため、麻酔をかけながらすることが多いです。右上、右下、左上、左下と4回程度に分けることが多いです。
FLOW 6

縁下歯石とり後の再評価

縁下歯石除去後に歯周ポケットの減少や歯肉出血などの減少を確認します。全体的に歯周病が落ち着いておればここで終わります。その後は歯周病が再発しないように、歯周病予防処置に移ります。いわゆる定期検診です。ここで歯周病の炎症が残っている場合は、歯周外科に移ります。歯周外科の内容については、歯周病の状況次第で変わりますので個別で説明いたします。
FLOW 7

歯周外科(初期治療で改善しない場合)

歯周ポケットが5〜6mm以上になってくると、SRPで完全に取り除くのは不可能に近いです。
そのため、歯茎を少し捲ることで歯石がどこにあるか見える状況で歯石とりすることによって取り除くことができます。
今まで何をしても出血や膿が出てくる状況が止まらなかったのが、ピタッと止まったりします。減った骨を回復させる歯周組織再生療法も適応になる場合もありますので、適応になられる方にはご説明させていただきます。フラップ手術やFOPと言ったりします。
その他に歯周形成外科(根面被覆術や遊離歯肉移植術)など様々な種類の手術があります。
FLOW 8

メンテナンス、予防

歯周外科をしても炎症が取れない歯があれば、抜歯になるか経過を見て行くことになります。歯に揺れが残る場合もあり、永久固定をすることもあります。今後のメンテナンスの間隔やどのように予防していくか患者様にも清掃時の注意点などお話しさせていただいて、今後悪化して行かないようにしていきます。

歯石とり治療が終わっても、日々のメンテナンスが大切です。歯磨きの仕方やフロス、歯間ブラシを併用した方がいい場合もあります。(・・・大きい声では言えませんが、歯科医師でも歯科衛生士でも完璧に歯磨きすることは難しいのです。。)みなさんの歯磨きの慣れたやり方というのがあると思いますが、プラスアルファで苦手なとこをカバーしていただければ、少しでも歯が弱くなるリスクは下がるかと思います。それでも難しいところはあると思いますので、3~4ヶ月に一回程度クリーニング来られることをお勧めします。

クリーニングとは歯石とりはもちろんのこと、歯の着色をとったり歯の表面のベタつきをとったり、歯茎も引き締まります。

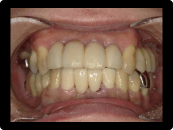
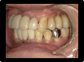
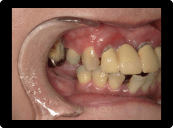
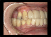
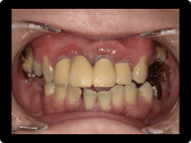
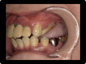
歯周病の治療例

奥歯の重度歯周病は保存困難のため抜歯してインプラント治療。残す歯は歯周病中等度であったため、歯周基本治療歯周外科治療を含めて行い、歯茎からの出血などはなくなった。
BEFORE
AFTER
BEFORE
AFTER
BEFORE
AFTER

症例概要

年代・性別
50代 女性
主訴
全体の歯茎から出血する、奥歯が揺れて噛めないことを主訴に来院されました。
治療内容
全顎歯周外科治療(保険治療)+奥歯インプラント治療4本
治療期間
6ヶ月
治療のリスク
歯肉退縮のリスクがあります
治療費用
約160万円

歯周病治療の費用

表記は全て税込となります。
保険診療
全体歯石取り(見えてる部分、再評価含め2日)
1,500
1/4ブロック 歯肉縁下歯石取り(歯茎内部、再評価含め3~5日)
2,000
歯周病重症化予防(歯周検診、メンテナンス)
3,000
自由診療
オープンフラップ(FOP)
55,000円(1部位あたり)
歯肉弁根尖側移動術(APF)
55,000
結合組織移植術(CTG)
77,000
遊離歯肉移植術(FGG)
77,000
歯周再生療法(エムドゲイン、リグロス)
110,000円(1ヶ所あたり)

ご来院をご検討の患者様へ

皆さんはきちんとした歯周病治療を受けられていますでしょうか?予防処置に入っているのに出血が続く、歯茎が時々腫れるなどの症状はないですか?

歯医者での歯石とりはされたことがあると思います。1回で終わる場合もありますし、数回かかる場合もあります。しかし、歯周病治療のための歯石とりが数回かかるにも関わらず、1回で済まされているケースがとても多く感じます。他の歯医者さんで歯周病予防で3ヶ月に1回通われて続きをお願いしますと当院に来られた方の半数以上は歯石が多く残っている状態や歯茎が腫れている状態で来られます。きちんとした基本治療がされていないことが多いのです。

当院は歯周基本治療を徹底して行いますので、もしかしたら歯周病かもしれないと思われている方も、歯周病治療を行っているのに改善しないとお困りになられたら、いつでも当院へご相談ください。

診療予約・ご相談

RESERVATION

お気軽にご予約・ご相談ください

ご予約・お問い合わせ
tel
06-6953-4182

診療時間

月 〜 金
9:30 ~ 13:30 15:00 ~ 19:00
最終受付時間: 18:00
9:30 ~ 13:00 14:00 ~ 17:00
最終受付時間: 16:30
休診日

日、祝