診療時間・ご予約はこちら

ご予約・お問い合わせ
tel
06-6953-4182
大阪メトロ 千林大宮駅 4番出口すぐ10秒

診療時間

月 〜 金
9:30 ~ 13:30 15:00 ~ 19:00
最終受付時間: 18:00
9:30 ~ 13:00 14:00 ~ 17:00
最終受付時間: 16:30
休診日

日、祝

DENTAL IMPLANT

インプラント

  • HOME
  • インプラント

天然歯のような見た目と機能を取り戻すインプラント

インプラントは人工歯根と上部構造(被せ物)から成り立つ構造のため、天然歯のような見た目と機能を取り戻すことができる治療です。また、ブリッジや入れ歯と組み合わせることによって、様々な症例に対応できるのもインプラントが選ばれる理由にもなっています。

インプラントを選択するメリット・デメリット

ADVANTAGES
インプラントを選択するメリット
  • 他の天然歯に負担をかけない
  • 咀嚼効率がとても良い
  • 審美性が高い
  • 他の治療と組み合わせられる
天然歯と同様の状態を取り戻せる事が最も重要な利点ではありますが、少数のインプラントでブリッジにできたり、入れ歯を固定したりすることも可能です。このように幅広い症例に対応できるのもインプラントが第一選択になる所以であると考えています。
DISADVANTAGES
インプラントを選択するデメリット
  • 自由診療であるためブリッジや入れ歯に比べて費用が高くなる
  • 外科治療を伴う
  • 禁煙ができないとインプラントが骨に生着しない可能性が高い
  • 定期メンテナンスやセルフケアが難しい方はインプラント周囲の炎症により脱落する可能性がある
優れた治療である一方、自由診療になるため費用が高額になります。また外科治療を伴うため、外科に対する恐怖感が強い方にとってはデメリットになります。 また、喫煙はインプラントの生着に大きな影響を与えるため、禁煙ができない方にはインプラントはご提案致しません。メンテナンスやセルフケアが難しい方は、インプラントの歯周病である周囲炎の可能性が高まるため、別の治療法をご提案いたします。

当院のインプラントの特徴

痛みや不快感を感じない治療

当院では、患者様の身体的な負担をできる限り少なくすることを重視しています。

フラップレス手術(切開しない手術)

歯ぐきや骨の状態が良好な場合、歯ぐきを切開せずにインプラントを埋入する「フラップレス手術」が可能です。切開を伴わないため、術後の腫れや痛みを大幅に抑えることができます。

骨造成が必要な場合や歯ぐきが少ない場合は適応できません
抜歯即時埋入

歯を抜くのと同時にインプラントを埋め込む「抜歯即時埋入」にも対応しています。抜歯とインプラント手術を同時に行うことで、外科処置の回数を減らし、回復までの負担を軽減します。

周囲の炎症が強い場合は適応できないことがあります

難症例にも対応できる安全性と技術力

インプラント治療を確実に成功させるため、安全性と精密さにもこだわっています。

骨造成技術による対応

骨が不足している場合でも、GBR(骨誘導再生)、サイナスリフト、ソケットリフトなどの骨造成法を用いることでインプラント治療が可能になるケースが多くあります。また、通常より短いインプラントを使用する選択肢もご提案しています。

サージカルガイドによる精密埋入

CTデータと歯型模型を組み合わせた「サージカルガイド」を作成し、インプラント埋入位置を事前に正確に計画します。手術時にはこのガイドを使用し、ズレのない、安全で確実なインプラント埋入を実現しています。

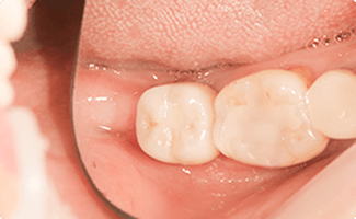
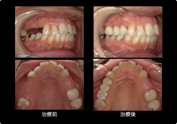
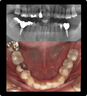
奥歯のインプラントの症例

ブリッジが壊れて奥歯を失った方

BEFORE
AFTER

症例概要

年代・性別
40歳代 女性
主訴
奥歯がグラグラする
治療内容
下顎両側6番 インプラント治療、左下5番セラミッククラウン(デジタル) 
治療期間
3ヶ月
治療のリスク
インプラント周囲炎のリスクがあるため、メンテナンスに来ていただきます。
治療費用
913,000円(税込)

一番奥の入れ歯が噛みにくい方

BEFORE
AFTER

症例概要

年代・性別
50歳代 女性
主訴
奥歯で噛めない
治療内容
右下6番インプラント治療
治療期間
3ヶ月
治療のリスク
骨の状態によっては骨造成が追加で必要な場合があります。
メンテナンスやセルフケアの状態でインプラントの歯周病に犯される場合があります
治療費用
407,000円(税込)

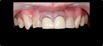
部分入れ歯が噛めない、違和感が強かった方のインプラント治療

BEFORE
AFTER

症例概要

年代・性別
50歳代 女性
主訴
入れ歯が噛めない
治療内容
上顎4番・6番インプラント、上5番 セラミッククラウン(デジタル)
治療期間
3ヶ月
治療のリスク
インプラント周囲炎のリスクがあるため、メンテナンスに来ていただきます。
治療費用
924,000円(税込)

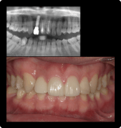
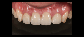
前歯のインプラントの症例

前歯を綺麗に治したい

BEFORE
AFTER

症例概要

年代・性別
50歳代 女性
主訴
前歯を綺麗に治したい
治療内容
上顎両側1番インプラント、上顎両側2番セラミッククラウン、根管治療
治療期間
4ヶ月
治療のリスク
骨が少ない場合や膿の大きさが大きい場合は同時にできない場合があります。
治療費用
1,210,000円(税込)

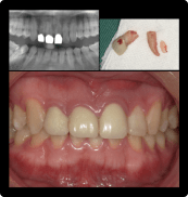
昔ぶつけた歯が揺れている

BEFORE
AFTER

症例概要

年代・性別
50歳代 女性
主訴
前歯を綺麗に治したい
治療内容
上顎両側1番CADCAM冠(根管治療)、上顎右側2番インプラント治療(抜歯即時インプラント)
治療期間
4ヶ月
治療のリスク
骨が少ない場合や膿の大きさが大きい場合は同時にできない場合があります。
治療費用
506,000円(税込)

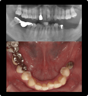
骨造成(サイナスリフト)を伴うインプラント治療

上の奥歯に歯を入れたい

BEFORE/AFTER

症例概要

年代・性別
50歳代 女性
主訴
上の奥歯に歯を入れたい
治療内容
右上6番インプラント治療、サイナスリフト
治療期間
4ヶ月
治療のリスク
インプラント周囲炎のリスクがあるため、メンテナンスに来ていただきます。
治療費用
572,000円(税込)

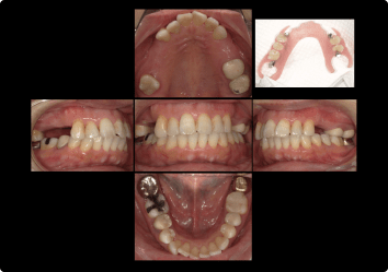
インプラント治療の流れ

FLOW 1

精密検査

レントゲン、歯周病検査、CT、歯型(噛み合わせの検査)、血圧測定、必要であれば顔の写真等を取ります。(費用はいただきません、インプラント治療費に含まれます。) レントゲンはCT、パノラマレントゲンを必要とします。
FLOW 2

説明

現状説明、骨の状態、術後注意事項説明、インプラント終了後の注意事項、同意書等。費用と今後の工程説明。患者様からのご質問やご不安について相談。カウンセリングルームにて検査の説明、安全性、リスクについてお話しします。
FLOW 3

手術

手術内容によって多少異なりますが、一般的に1本インプラントにつきアポイントは90分程度(治療前、治療後検査説明合わせた時間)いただきます。実際の手術時間は10~15分程度のことが多いです。骨造成等を併用する場合は長くなっていきます。元の歯より小さいサイズのインプラントを埋入します。
FLOW 4

2次手術

この工程は2回法の場合に必要になります。インプラントを歯茎の中に埋め込んでいる場合、型取りや上に歯を乗っけることができませんので、歯茎を貫通させるパーツを付ける作業を行います。1本インプラントの場合、30分程度の処置になります。
FLOW 5

上部構造

インプラントの上に接続する歯を作る工程になります。型取りをして、歯をつけるため、2~3回の工程が必要です。周囲の歯と馴染むような色合いで作成していきます。仮歯が必要な時は仮歯をつけていただくこともあります。
FLOW 6

完成

一般的にはネジ止め式(スクリューリテイン)で止めていきます。ネジ穴は最終的に問題なければ本フタにかえて見た目もわからないようにします。掃除の仕方やメンテナンス法、注意点などお話しします。スクリューリテイン、ネジ穴はコンポジットレジンで埋めるため目立たない。
FLOW 7

メンテナンス

3~4ヶ月に一回は周囲の汚れのチェック、噛み合わせのチェックを行います。噛み合わせも周囲の歯が動くことで変化することがありますので、合わせてチェックしていきます。

インプラント治療の注意点

  • 外科手術のため、全身の健康状態(高血圧・糖尿病など)が安定していることが必要です。
  • 治療期間は3〜6か月と長く、保険適用外のため費用は高額になります。
  • 高齢でも治療可能ですが、10代は顎の成長を考慮して慎重に行います。
  • インプラントには十分な骨が必要です。足りない場合は骨造成が必要になります。
  • インプラントはむし歯になりませんが、歯周病(インプラント周囲炎)には注意が必要です。
  • 毎日のケアと定期的なメンテナンスがインプラントを長持ちさせます。

インプラントの費用

表記は全て税込となります。
インプラント埋入
インプラント
440,000
審美エリアインプラント
462,000
抜歯即時インプラント
462,000
骨造成
サイナスリフト、高度GBR
220,000
ソケットリフト、中等度GBR
110,000
ソケットプリザベーション
55,000
ブロック骨移植
165,000
ラジオグラフィックガイド
55,000

インプラントをご検討の方へ

インプラント治療に少しでもご興味をお持ちの方、他院で「難しい」と言われた方も、まずはお気軽にご相談ください。当院では、精密な検査とカウンセリングを通じて、お一人おひとりに最適な治療方法をご提案しています。
また、現在治療方針に悩まれている方にはセカンドオピニオンも受け付けております。
インプラントに不安や疑問がある方も、まずは一度お話をお聞かせください。
ご予約・お問い合わせはお電話またはWEBから承っています。

診療予約・ご相談

RESERVATION

お気軽にご予約・ご相談ください

ご予約・お問い合わせ
tel
06-6953-4182

診療時間

月 〜 金
9:30 ~ 13:30 15:00 ~ 19:00
最終受付時間: 18:00
9:30 ~ 13:00 14:00 ~ 17:00
最終受付時間: 16:30
休診日

日、祝