診療時間・ご予約はこちら

ご予約・お問い合わせ
tel
06-6953-4182
大阪メトロ 千林大宮駅 4番出口すぐ10秒

診療時間

月 〜 金
9:30 ~ 13:30 15:00 ~ 19:00
最終受付時間: 18:00
9:30 ~ 13:00 14:00 ~ 17:00
最終受付時間: 16:30
休診日

日、祝

WISDOM THEETH

親知らず

親知らずの抜歯でお困りの方へ

このページをご覧の方は親知らずに痛みがある、もしくは親知らずが生えてきたから抜歯をしたほうが良いのかお悩みの方ではないかと思います。抜歯の基準、親知らずを残すメリット・デメリットなどを含めて、親知らず全般の内容をお伝えしていきます。

親知らずとは?

親知らずは前から数えて8番目の歯(智歯、親知らず)のことを言います。大きい奥歯(第3大臼歯)では3番目になります。縄文時代など昔の人は普通に生えていたそうですが、現代人の傾向として顎が小さくなってきており、入りきらずに途中で引っかかってしまう状態です。上下左右4本ある人も居れば、もともとない人もいます。悪さをしなければ、絶対抜かないといけないものではありません。

親知らずが痛む原因

CAUSE 1
智歯周囲炎
親知らず周囲に汚れがついて歯茎が腫れてしまいます。症状が強く出れば、お口が開けづらくなり、熱が出ることもあります。顔の形が変わるくらい腫れることもよくあります。飲み薬で効きにくい場合は紹介させていただいて点滴処置も必要になることもあります。
CAUSE 2
歯周病、むし歯
歯周囲炎と関連しますが、慢性的(定期的にずっと)に汚れが停滞していると、手前の歯にむし歯を作ったり歯周病を憎悪してしまう可能性があり、親知らずを抜歯したとしても手前の歯も大きくダメージを負う場合もあり、最悪の場合手前の歯の抜歯の可能性もあります。
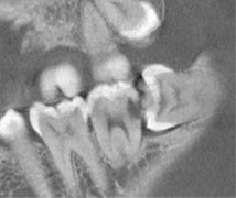
実際のCT画像
このCT画像は実際に親知らずが横向きに生えていることによって、手前の歯が虫歯になってしまっている様子です。こういった症例の場合は、親知らずの抜歯を行ったうえで手前の歯の虫歯治療を行う必要があります。

親知らずの抜歯の基準

親知らずを抜歯する場合

  • 親知らずが生えきらず、虫歯や歯周病になるリスクが高い場合
  • 親知らずが虫歯や歯周病になっている
  • 歯列不正の原因となる場合

これらの場合は、一般的に抜歯になる親知らずです。親知らずが不正歯列の原因に繋がることをご存じない方もいらっしゃると思いますが、親知らずが手前の歯にぶつかっている場合、手前の歯を押したりしますので、歯並びに悪影響を及ぼすことがあります。一度矯正しても親知らずが原因でまた歯並びが悪くなることもあります。

親知らずを残す場合

歯が正常に生えている場合、たとえ虫歯であっても処置をして残す場合があります。その理由としては、何らかの理由で歯を失った場合の「移植歯」として活用できるからです。歯の移植はインプラントに比べて天然歯の利点をそのまま引き継いでいるため、抜かなくても良い親知らずを残すことを提案することもあります。

親知らずの抜歯に関する痛みや腫れについて

歯茎に埋まっている場合と埋まっていない場合と少し変わってきます。歯茎に埋まっている場合は、1週間ほど腫れることが多いです。痛みは3日程度続くことが多いです。顔の形が少し変わるか変わらないかくらいの腫れになることが多いと思います。
歯茎に埋まっていない場合は、腫れはあまりないことが多いです。痛みは2〜3日あるかと思います。人によって症状は違うので一つの基準としてお考えください。ちなみに、抜歯中の痛みは局所麻酔を効かせますので痛みはありません。

親知らず抜歯の費用

表記は全て税込となります。
保険診療
埋伏智歯
4,000
CT撮影(保険診療のルールに基づく)
3,500

親知らずの抜歯をご検討になられたらお気軽にご相談ください

当院では日本口腔外科学会認定の院長を中心に、親知らずの処置に対応しています。痛みはないけれど抜くべきか、残したほうがよいのかなどの相談も受け付けております。まずはお気軽にご相談いらっしゃってください。

診療予約・ご相談

RESERVATION

お気軽にご予約・ご相談ください

ご予約・お問い合わせ
tel
06-6953-4182

診療時間

月 〜 金
9:30 ~ 13:30 15:00 ~ 19:00
最終受付時間: 18:00
9:30 ~ 13:00 14:00 ~ 17:00
最終受付時間: 16:30
休診日

日、祝