診療時間・ご予約はこちら

ご予約・お問い合わせ
tel
06-6953-4182
大阪メトロ 千林大宮駅 4番出口すぐ10秒

診療時間

月 〜 金
9:30 ~ 13:30 15:00 ~ 19:00
最終受付時間: 18:00
9:30 ~ 13:00 14:00 ~ 17:00
最終受付時間: 16:30
休診日

日、祝

ORTHODONTICS

矯正歯科

自信が持てる口元が長持ちする矯正歯科

歯並びの印象がお顔の印象を決めると言っても過言ではないほど大きな影響を持っています。昨今SNSの発展により、口元の見た目に大きな関心が集まっていると言えます。また、マウスピース型の矯正装置の登場により、矯正治療へのハードルは大きく下がったと思います。

一方で、矯正治療のトラブルは増えています。無理な部分矯正によって口元が前に出てしまったり、噛み合わせが悪くなってしまうなどの問題が発生しています。当院はワイヤー矯正もマウスピース矯正も行いますが、大切なのは「自信が持てる口元が長持ちすること」であると思っています。

そのためには審美性(見た目)と機能(噛み合わせ)の両方を考慮した矯正治療を行います。矯正治療は自由診療になるため、何度もやり直しはできません。当院では診査診断に時間をかけ、患者様の将来にわたってメリットのある矯正治療を目標としています。

矯正治療に関する不安を取り除くための取り組み

APPROACH 1
豊富な時間をかけた矯正相談
  • 前歯の歯並びが気になる
  • 八重歯が目立つのが嫌だ
  • 奥歯の噛み合わせが良くないと感じる
  • 前歯で食べ物が噛みきれなくて辛い
  • 口元を引っ込められるのかな?
  • 抜歯は必要なのかな?
  • 費用はどれくらいかかるのかな?
  • 治療期間はどれくらいかかるかな?
など、治療前に気になることはたくさんあると思います。
患者様が持つ不安を一つひとつ取り除くために、豊富な時間をかけた矯正相談を行っています。お口の中を拝見しまして、費用期間はもちろんのこと、患者様に適した装置や抜歯非抜歯含めてわかりやすく説明いたします。そして、求めておられる理想的な歯並びに並ぶよう全力でサポートいたします。
APPROACH 2
装置の不安を解消いたします
  • 目立たない装置はあるの
  • マウスピース矯正って聞いたけど私でもできるの?
  • マウスピースよりワイヤー矯正が良いと言われてしまった
など患者様に治療の選択肢が増えたことで何を選択するべきか、迷われる方もいらっしゃると思います。結論、ワイヤー矯正の方が優位な場合もありますし、逆にマウスピース矯正の方が有利になる場合もあります。取り外しできるタイプか取り外せないタイプかなど、患者様の状態に応じてメリットデメリットをお伝えします。そのうえで納得した形で治療を進めるのが理想的であると考えています。
APPROACH 3
噛み合わせを考慮した治療計画
矯正治療で歯を動かす原理は、
  1. 歯が並んでいる綺麗さ(審美的)
  2. 綺麗に上下並んで噛んでいる(機能的)
この2つの意味が含まれています。 2の方が本来矯正治療を介入する意義となります。 奥歯がしっくりかめないや前歯で噛みきれないなどの悩みに、しっかりとした噛み合わせを与えてあげることによって、咀嚼効率のアップはもちろんのこと、虫歯のリスク、歯周病のリスクの軽減から長期的に長く永久歯を残すことができるようになると思います。 昨今のマウスピース型矯正装置によって噛み合わせが悪くなったり、口元が出てしまうといったトラブルを目にして不安になっている方がいるのも事実です。そうならないように、審美的な部分だけでなく、機能的を最大限に考慮した治療計画を立案いたします。
APPROACH 4
歯肉退縮のリカバリーにも対応します
矯正治療で歯を動かす原理は、
  1. 歯を動かす過程で骨が吸収する
  2. 歯が動いたスペースの骨が再生する
この1と2を繰り返して歯は動いていきます。しかし、骨が必ずしも元通りに再生するとは限りません。そのため、以前よりも歯肉が下がってしまう場合があります。そうならないような治療計画や経過観察を最大限行うのですが、100%防げるものではありません。そうした場合にリカバリーが出来るかどうかが重要になります。 当院では歯肉移植やダイレクトボンディングなどで歯肉退縮のリカバリーを行うことで、ブラックトライアングルが目立たないようにすることが可能です。
APPROACH 5
当院の矯正治療が選ばれる理由
当院は矯正専門医ではありませんが、かかりつけ歯科医として誰よりも患者様の歯を長く持たせること、機能的に噛める状態を保つことがかかりつけ歯科医としての使命と考えております。単に綺麗に並べることだけでなく、長期的に歯を長く保たせる観点も持っています。

矯正相談を何件か行かれた患者様のお話をお伺いしますと、矯正専門医の先生の傾向として抜歯矯正される先生が多いように感じます。矯正専門医というのは基本的にワイヤー矯正のスペシャリストです。しかし、マウスピース矯正というのはワイヤー矯正とそもそも診断の仕方や動かすメカニズムが違います。よって特にマウスピース矯正に関してはマウスピース矯正をたくさんされている先生の方が矯正専門医の先生より長けていると感じます。ワイヤー矯正の診断であれば、抜歯の判断のものもマウスピース矯正の診断をすると非抜歯になるケースも多くあります。

もちろんマウスピース矯正だけでは治せない症例があるのもまた事実です。当院ではワイヤー矯正も行っていますので、マウスピースかワイヤーかどちらが患者様に合っているかもお話できるかと思います。もし抜歯になるにしても理由も含めてきちっとお話しさせていただきます。

当院が対応する矯正装置

01
マウスピース矯正
目立ちにくく、装置を外して歯磨きできますので清潔感も優れています。7〜14日程度で新しいマウスピースに装着していただきますので、黄ばんできて汚れが目立つ心配もありません。得意な動かし方は、歯列拡大や臼歯圧下や奥歯後方移動などです。
ワイヤー矯正の診断では抜糸判断が下る場合でも、マウスピース矯正で診断行うと非抜歯になるケースも少なくありません。
02
ワイヤー矯正(ブラケット矯正)
従来型のもので、歯に直接ボタンを張ってそれに弾性ワイヤーを通します。
§ 見栄えは金属のワイヤーが少し目立ってしまいます。取り外しができないため、ワイヤーやボタンのところに物が詰まりやすく虫歯リスクが上がります。ご自身では外せないため、マウスピースだとつけておく自信のない方にはお勧めです。 得意な動かし方は、抜歯矯正のような歯の移動距離が大きいケースや歯の傾きの修正が大きいケースなどは得意です。

矯正治療の症例紹介

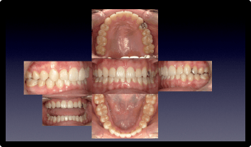
開咬を矯正治療で改善した症例

BEFORE
AFTER

症例概要

年代・性別
20代 女性
主訴
前歯噛んでない、麺類噛みにくい、息が漏れる
治療内容
インビザラインライト
治療期間
7ヶ月
治療のリスク
歯が染みたり、後戻りする可能性があります /div>
治療費用
495,000円(税込)

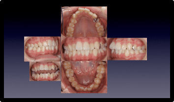
叢生を矯正治療で改善した症例

BEFORE
AFTER

症例概要

年代・性別
30代 男性
主訴
歯並びがたつき気になる。噛み合わせよくしたい。
治療内容
インビザラインライト
治療期間
1年8ヶ月
治療のリスク
歯が染みたり、後戻りする可能性があります
治療費用
935,000円(税込

矯正治療の基本的な流れ

01
矯正相談(無料相談、無料カウンセリング)

患者様の現状と原因、それに対する治療法やそれぞれのリスクなどについてお話しいたします。費用や目安の治療期間などもお話しいたします。判断が難しい場合は精密検査を受けていただいた後、再度説明させていただくこともあります。

02
費用見積もり、同意書説明、資料どり

治療前に治療途中の注意事項等説明と契約書等にサインいただいてからスタートとなります。資料どりとはパノラマレントゲン、CT、セファロ、お顔の写真、お口の写真、カメラでの型取りのことを指します。

マウスピース矯正の場合
カメラでは型を撮ったもので、治療後予想図と工程表をお作りします。(クリンチェック)一度患者様と最終の噛み合わせや歯並びをチェックしていただき了承得られましたら、マウスピース作成に入ります。

ワイヤー矯正の場合
一般的には上の歯からボタンとワイヤーを貼り付けていきます。慣れてこれば1~2ヶ月後に下の歯にボタンとワイヤーを貼り付けていきます。もし抜歯が必要であれば、矯正の前半やボタンをつける前に抜歯を行います。

03
調整、経過チェック、修正

マウスピース矯正でもワイヤー矯正でも基本月に1回程度きちっと動いているか、チェックする必要があります。ワイヤーを交換したり、マウスピースでは歯と歯の間のスペースを開けたり、ゴム掛け用のゴムの強さを調整したりします。

04
リテーナー(後戻り防止装置)

矯正が終わっても装置は装着していただきます。強制的に歯を動かしていたために、ある程度いい位置にまで動かしますが、奥歯が最終しっくり噛む位置になるには強制終了してから半年〜1年程度かかります。1mm以下の単位でまだ少し歯が動いたりします。体と馴染むまで少し時間がかかります。その間動いてほしくない前歯やポイントとなる歯は動いてほしくないので、後戻り防止装置を装着していただきます。矯正終了して1年くらいは12時間/日程度装置を装着していただきます。1年が過ぎても就寝時は装着が必要です。

矯正治療の費用

表記は全て税込となります。
マルチブラケット(全顎矯正
935,000 ~ 1,155,000
マルチブラケット(部分矯正)
495,000 ~ 715,000
インビザライン(全顎矯正)
935,000 ~ 1,155,000
インビザラインGO, ライト(部分矯正)
495,000
インプラントアンカー(TADS、アンカースクリュー)
22,000 円/1本
再診調整料
5,500

矯正治療によくある質問

矯正治療の相談を行っています。

当院では矯正治療の相談を承っております。単に費用や期間だけでなく、抜歯非抜歯の判断とその理由について、リスクなどについてお話しいたします。しっかり時間をとってお話しさせていただきたいので、予約制となっております。ご了承ください。

診療予約・ご相談

RESERVATION

お気軽にご予約・ご相談ください

ご予約・お問い合わせ
tel
06-6953-4182

診療時間

月 〜 金
9:30 ~ 13:30 15:00 ~ 19:00
最終受付時間: 18:00
9:30 ~ 13:00 14:00 ~ 17:00
最終受付時間: 16:30
休診日

日、祝