日、祝
-
診療一覧
-
当院について
- お悩みから探す
日、祝
日、祝
日、祝
日、祝
こんにちはステラ歯科矯正歯科 千林大宮 今井佑輔 です。
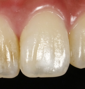
健康な歯の表面を乾燥させて顕微鏡で見ると、割とデコボコしてたりざらつきがあります。普段は唾液の成分にぬめり成分(ムチン)が含まれており、歯の表面へばりついているためツルッとした感じに感じます。基本的には自体は乾燥させなければ表面はツルッとしているのが一般的です。

歯の表面が濡れているのにも関わらず、舌で触ってざらつきが感じられるようであれば何か問題がある可能性があります。

歯の表面に磨き残しがあると、細菌同士が手を繋いでバイオフィルムと言われるバリアを形成します。汚れと細菌が固まったものが歯の表面に付着してると舌で触るとざらつきとして感じることができます。逆に歯ブラシの後、舌で触ってみてざらつきを感じるところは汚れが残っているということです。この汚れは早めに落とさないと、排水溝のぬめりのようになっていき、簡単な力では落とせなくなってくる場合もあります。

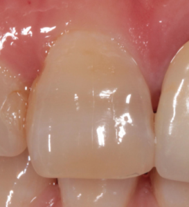
プラークの状態が続くと唾液成分に入っているカルシウムがついて、硬い石のようになってきます。表面はざらざらしていて、顕微鏡で見ると軽石の表面のようです。一度固まってしまうと歯ブラシでは取れなくなります。超音波の歯石取り機を使用してとっていきます。

歯の表面はもともと少しざらついていますが、噛む力がかかる歯は力の影響で歯の表面にヒビが入ったり、ヒビからの小さい欠けが発生したりすることがあります。物理的に表面が欠けてザラザラするということです。あと歯磨剤(歯磨き粉)の成分でホワイトニングできますと謳っているような研磨剤が多く含まれているようなものは、逆に歯の表面を傷つけてしまいます。一度使ってやめると傷だけが残り、着色もしやすくなってしまいます。

①でお話しした細菌が酸をだして表面的に虫歯になることがあります。そうなると虫歯の表面は歯が溶かされるのでザラザラに感じます。虫歯の場合、本当の初期だとフッ素を使用することで歯硬くなり元に戻ることもありますが、ヘコみとして実際に窪んでいると虫歯治療になります。
一度ご自身の歯をチェックしてみてはどうでしょうか
日、祝